圣洁口腔医院 > 经典项目 >
文章推荐
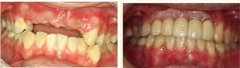
廊坊门牙掉了一颗能种吗
廊坊种植牙痛苦吗
廊坊地包天治疗多少钱
廊坊小孩矫正牙齿龅牙手术多少钱
补牙洞多少钱
洗牙牙齿会变白吗
智齿 拔牙
拔牙注意什么
廊坊种植牙的危害有吗
廊坊种植牙齿多少钱