圣洁口腔医院 > 经典项目 >
文章推荐
种植牙种类及价格
廊坊地包天正畸价格
廊坊牙齿正畸得多少费用
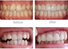
廊坊地包天正畸治疗方法
廊坊成人隐形正畸需要多少费用
廊坊虎牙正畸治疗方法有几种
种植牙好还是镶牙好
种植牙的年龄
怎么种植牙
种牙多少钱