圣洁简介
品牌优势
权威专家
金牌技术
经典案例
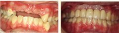
口腔种植
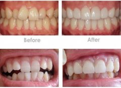
牙齿矫正
美容修复
口腔治疗
儿童齿科
圣洁口腔医院
>
经典项目
>
文章推荐
我要咨询
廊坊隐形正畸 多少钱
廊坊小孩虎牙隐形正畸
廊坊牙齿矫正多少岁合适
廊坊25岁了还能矫正牙齿吗
廊坊27岁正畸多少钱
换两个门牙多少钱
牙种植体
牙齿种植的费用
怎么种植牙齿
种植牙危害
首页
上一页
253
254
255
256
257
258
259
260
261
262
263
下一页
末页
共
449
页
4486
条
姓 名:
电 话:
咨询内容:
输入您的留言,禁止发表国家禁止的言论。