圣洁简介
品牌优势
权威专家
金牌技术
经典案例
口腔种植
牙齿矫正
美容修复
口腔治疗
儿童齿科
圣洁口腔医院
>
经典项目
>
文章推荐
我要咨询
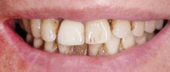
廊坊市民前牙开合有什么危害
廊坊成年人要“整牙”就趁早
廊坊市民牙齿稀疏缝隙大咋办,圣洁来帮忙
廊坊市民拔牙后多久可以种植牙?
廊坊市民从“牙”开始维护父母的健康
廊坊市民成年后还可以矫正龅牙吗?
廊坊市民牙齿龅牙会有哪些危害
廊坊市民烟渍牙有什么危害?
廊坊市民烟渍牙,怎么让牙齿变白
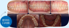
廊坊市民矫正牙齿——半隐形牙套
首页
上一页
190
191
192
193
194
195
196
197
198
199
200
下一页
末页
共
449
页
4486
条
姓 名:
电 话:
咨询内容:
输入您的留言,禁止发表国家禁止的言论。