圣洁简介
品牌优势
权威专家
金牌技术
经典案例
口腔种植
牙齿矫正
美容修复
口腔治疗
儿童齿科
圣洁口腔医院
>
经典项目
>
文章推荐
我要咨询
在廊坊做假牙、烤瓷牙、种植牙哪一个省钱?
廊坊圣洁口腔做矫正隐形牙套多少钱
廊坊市民单颗牙齿缺失怎么办?圣洁口腔来帮忙
廊坊市民种植牙安全吗?圣洁口腔为您保驾护航
廊坊市民种植牙的坏处
廊坊市民的色素牙怎么办?
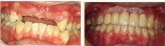
【种牙记第一篇】4颗种植体恢复半口牙
廊坊龅牙应该怎么矫正
廊坊种牙 缺点
医院补牙要多少钱
首页
上一页
193
194
195
196
197
198
199
200
201
202
203
下一页
末页
共
449
页
4486
条
姓 名:
电 话:
咨询内容:
输入您的留言,禁止发表国家禁止的言论。