圣洁简介
品牌优势
权威专家
金牌技术
经典案例
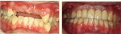
口腔种植
牙齿矫正
美容修复
口腔治疗
儿童齿科
圣洁口腔医院
>
经典项目
>
文章推荐
我要咨询
廊坊牙齿矫正利弊
洗牙能美白牙齿吗
拔牙大概多少钱
拔牙应该注意什么
补牙多少时间
牙周炎的治疗方法
牙痛的治疗方法
廊坊种植牙要多少钱一颗
廊坊种牙齿坏处
廊坊21岁爆牙能矫正吗
首页
上一页
215
216
217
218
219
220
221
222
223
224
225
下一页
末页
共
449
页
4486
条
姓 名:
电 话:
咨询内容:
输入您的留言,禁止发表国家禁止的言论。