廊坊21岁爆牙能矫正吗
时间:2019-04-19 11:07
龅牙矫正的方法有很多种,具体的要根据求美者龅牙的程度和口腔状况来确定。对于成年人来说,更注重矫牙过程中的美观,这样以来,轻度龅牙可以采用隐形牙套来进行矫正,美观方便、安全卫生。而中重度龅牙求美者,可采用美容冠来进行矫正,一周即可完成。当然龅牙求美者也可采用传统钢丝牙套来矫正,具体采取哪种矫正方案,廊坊圣洁口腔医院的正畸专家寇笑笑建议求美者根据自身经济条件及对美观度的要求来选择。
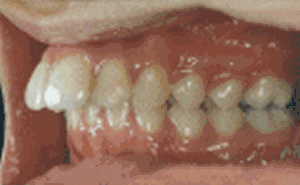
其实“龅牙”是东方人种中较为常见的一类牙颌面畸形,在医学专业上实质是上颌前突畸形或双颌前突畸形,一般不伴有严重的功能障碍,但非常影响美观,患者求治的目的主要是为了改善容貌。寇主任说,现在不用再为自己的龅牙苦恼啦,成人龅牙完全可以通过美容冠进行修复。
龅牙修复选择美容冠,圣洁口腔医院寇主任还指出,了解龅牙美容冠的矫正方法很有必要,龅牙人群的行为心理学可以看出,从小由外表缺乏自信,逐渐影响层面扩大至个性,学业,事业,婚姻等。影响之大,是传统父母难以想象的。尤其在被注视外表的时候,是较没自信的,如照相,演讲,越多人看越是扭捏不安,这是内在与外在相互影响的较佳写照。
龅牙是较为常见的一类牙颌面畸形,龅牙非常影响美观,很多成人朋友希望通过龅牙矫正来改善他们的容貌、牙齿咬合状况,能够拥有灿烂的微笑。但是龅牙美容冠的矫正方法在不同的年龄阶段可以采用不同的方式:
未成年人做龅牙的矫正方法:对于未成年人采用正畸矫正(带牙套)较好,较佳的矫正期一般是11-14岁。通过力学的拉动可以使牙齿恢复整齐。
美容冠的矫正龅牙是一种目前流行于欧美日韩的新兴牙齿美容技术,该技术在传统烤瓷牙的基础上强调牙齿的美容效果,针对成人错位牙、畸形牙的临床冠部分施以专业手段,较后用美容冠加以修复。具有美牙不拔牙,无痛苦,时间短,牙齿坚固,多年后牙龈不会出现黑线等优点,从而达到终生有保障的美牙效果。
龅牙修复选择美容冠,圣洁口腔寇医生提醒您,做美容冠牙齿矫正时一定要到正规专业的口腔医院,才能保障您牙齿矫正的治疗效果。廊坊圣洁口腔医院爱牙热线:0316-2285777,全体医护人员将竭诚为您服务!
相关阅读