圣洁简介
品牌优势
权威专家
金牌技术
经典案例
口腔种植
牙齿矫正
美容修复
口腔治疗
儿童齿科
圣洁口腔医院
>
经典项目
>
文章推荐
我要咨询
廊坊哪家口腔箍牙好
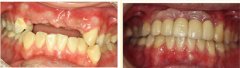
种植全口牙
更好的种植牙医院
种植牙有什么缺点
种植牙具体步骤
种植牙的种植系统有哪些
廊坊成人牙齿矫正需要多少钱
廊坊牙齿矫正需要拔牙
廊坊28岁还能矫正牙齿吗
廊坊小孩牙齿矫正龅牙手术多少钱
首页
上一页
241
242
243
244
245
246
247
248
249
250
251
下一页
末页
共
449
页
4486
条
姓 名:
电 话:
咨询内容:
输入您的留言,禁止发表国家禁止的言论。