圣洁简介
品牌优势
权威专家
金牌技术
经典案例
口腔种植
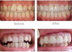
牙齿矫正
美容修复
口腔治疗
儿童齿科
圣洁口腔医院
>
经典项目
>
文章推荐
我要咨询
廊坊虎牙矫正对比
什么人不适合种植牙
全口种植牙价钱
种植牙齿好不好
种植牙齿多少价格
多颗牙种植
廊坊地包天能矫正吗
廊坊牙齿矫正 虎牙
廊坊38岁龅牙怎么办
廊坊隐形矫正 费用
首页
上一页
237
238
239
240
241
242
243
244
245
246
247
下一页
末页
共
449
页
4486
条
姓 名:
电 话:
咨询内容:
输入您的留言,禁止发表国家禁止的言论。