洗牙牙齿变白
时间:2019-05-28 15:38
牙好,胃口就好。现在越来越多的人为了自己的口腔健康,选择了洗牙。洗牙可以全面清洁口腔,保护牙龈,清新口气,为此,涌入洗牙行列的爱美人士越来越多。而在国外,洗牙更被称为是“另一种刷牙的方式”。
然而,在不断增多的洗牙群体中,出现了这样一些问题,很多热衷洗牙的人,常会走入误区,为了盲目追求雪白牙齿,把洗牙当做美容,甚至导致牙齿健康受影响。还有很多人在洗牙的同时发现自己的牙齿比以前更白了!难道洗牙真能让牙齿变白吗?
答案是否定的,洗牙并不能美白牙齿。
洗牙可以帮我们清洁口腔,排除牙龈里面的牙石,减轻对牙龈的刺激,从一定程度上是可以预防牙周炎的。另外洗牙还可以还原牙齿本来的亮白度、光滑度以及清洁度,但它并不能美白牙齿,如果要让牙齿变白较好的方式还是进行牙齿美白。
由于牙齿构造中的象牙质本身就偏黄,因此我们的牙齿本身就不是纯白色的。并且定期洗牙主要功效为清洁牙齿,通过超声波的高频震荡作用去除牙石、菌斑和色泽并磨光牙面,以延迟菌斑和牙石的再沉积。
通过除去平时因饮食所累积的牙结石与牙垢,洗牙后,一些人会有短暂齿色改变的感觉。但洗牙并没有牙齿美白的功效,仍须搭配其他美白方式,才能真正的美白牙齿。
其实,牙齿美白其实并没有标淮值,每个人牙齿的原色与健康状况都不尽相同,就算是使用一样的方式、剂量与浓度进行牙齿美白,较后能达到的美白效果也会有差异。因此,切忌盲目追求雪白牙齿。
为什么我们洗牙的时候发现牙齿变白了?
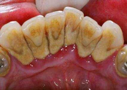
由于我们日常饮食中,摄入的食物中有些含糖量比较高,而这些高糖分的食物容易附着在牙齿上,形成牙菌斑,牙菌斑清除不到位,时间久就会形成牙石,经过洗牙和喷砂,去除了牙表面的牙结石和色渍,牙齿会比洗牙前白净。
针对轻度牙结石引起的牙变色可利用洗牙还原牙齿本色,但洗牙和牙齿美白不是一回事。洗牙的目的主要是清洁,可以清除牙齿表面的咖啡渍、茶渍和烟渍以及日积月累的牙结石,所以看起来会更洁白些。
有些人反映在洗牙后发现吸一口凉气会特别敏感,再仔细照镜子查看,似乎牙缝真的较之前更明显了。
其实,这是因为牙根包括牙颈部都非常细小、薄弱,原来它表面被牙结石覆盖着,洗牙把牙结石洗掉了。这些牙结石就好像我们穿的脏衣服一样,虽然脏衣服可以在外界冷热来袭时保护你,但是它本身会不断释放细菌毒素,自己也会慢慢变大,占据位置。
事实上,有人认为洗完牙以后牙酸,而且还会出现牙缝,这是一个误区!其实,洗牙只是把原来堆积在牙齿和牙齿之间的牙结石清理掉了。天生柔弱的牙龈只好一步步退让,直到牙根露出,也就是牙医们常常提到的——牙龈萎缩。
关键是,牙龈萎缩后,就很难回到原来的领地,原来有牙结石的地方空了,后果就是当牙结石被去除后,牙齿之间的牙缝就变宽了。实际上那个地方本身就有牙缝存在,并不是洗牙“洗出来”的。
是什么会造成牙齿黄?
一般来说,牙菌斑及口腔内的细菌是主要影响牙色的原因之一。
所以在美白牙齿的同时,清洁也是十分重要,平常在饭后较好养成刷牙的习惯,饭后口腔内的细菌滋生的速度是平时的好几倍,若是没有及时刷牙,容易造成过多的细菌,使得牙齿表面发黄。
想要牙齿变白就该从清洁做起,打好牙齿健康的基础再做牙齿美白,才是上上之策,否则若是原先口腔内有齵齿却随意使用牙齿美白产品,容易引起酸软敏感的问题。
相关阅读