廊坊虎牙矫正前后
时间:2019-04-04 15:07
生活中有许多人都长着虎牙,如果虎牙小小的看起来就非常可爱,不过当虎牙特别突出或过长,就会显得特别难看,严重的甚至会让嘴巴看起来很突出,所以很多人想做虎牙矫正,不过不清楚虎牙该如何矫正才好,下面就让廊坊圣洁口腔正畸专家魏开旭医生为我们揭秘虎牙矫正的较好方法有哪些。
虎牙矫正的较好方法:
魏开旭医生表示,通常情况下虎牙矫正常用的方法有3种,正畸矫正、阻断矫正和美容冠修复。
1、正畸矫正
虎牙矫正一般可以采用正畸的方式,具体选择哪种矫正方式可以根据患者的具体情况进行判断选择,可以选择隐形矫正、传统托槽矫正、半隐形矫正等,不过一般情况下青少年矫正相对比容易些,成人虎牙矫正花费的时间比较长,难度比较大。
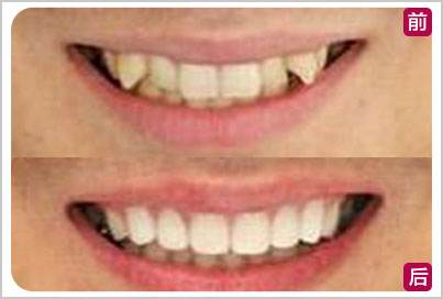
虎牙矫正案例前后对比图:
2、阻断矫正
阻断矫正一般用于错颌畸形早期,主要通过简单的方法进行早期干预矫正,将牙颌面引向正常发展,从而达到虎牙矫正的目的。早期干预矫正不仅能矫正虎牙,而且还可以矫正儿童不良的口腔习惯,还可以矫正早期的错颌畸形等等。
3、美容冠修复
美容冠修复是虎牙矫正的一种方法,对虎牙矫正有着显著成效。美容冠修复技术过过程中没有痛感,能做到矫齿、美齿一步到位,而且一般7天就可以效果,是虎矫正比较理想的一种方法,一般成人使用的比较多。
虎牙美容冠修复案例前后效果对比:
也许有些人还会嫌这些方法麻烦,觉得哪里用得上在虎牙上花费那么都精力,简单的把虎牙拔出不久完事了。在这里魏开旭医生着重强调,轻易不要拔掉虎牙,因为虎牙在口腔内有着至关重要的作用,有些人拔掉虎牙,甚至整个上唇都会塌陷,让人非常显老,所以虎牙能不拔就不要拔。
相关阅读