廊坊市民牙齿矫正的年龄
时间:2019-08-20 15:24
很多朋友关心牙齿矫正年龄的问题,廊坊圣洁口腔DSD微笑设计医生指出:随着口腔健康行业不断发展,如今的牙齿矫正技术越来越多,不同年龄的朋友可以选择适合到自己的矫正技术,即使过了牙齿矫正的黄金时期也不要紧,所以牙齿矫正的年龄是没有限制的。 》》》相关阅读:廊坊哪些人需要矫正牙齿?

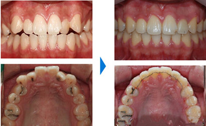
虽然牙齿矫正是没有年龄限制的,但是牙齿矫正也是有黄金矫正时期的,廊坊圣洁口腔DSD微笑设计医生提醒大家抓紧在好时期内矫正牙齿可以达到事半功倍的效果。
【矫正牙齿黄金时间】
据临床研究发现,儿童牙齿预防矫正的好年龄在3岁—11岁之间,青少年牙齿矫正的好年龄段在11岁—14岁之间。特别提醒的是如果儿童存在“地包天”的情况,那么为什么要在4岁——16岁进行专业矫正,因为在乳牙期和替牙期是进行地包天矫正的好年龄。
同时圣洁口腔虑到顾客矫正牙齿对时间、美观等多方面的需求,专门推出了以下牙齿矫正方式满足大家的需要:

◆圣洁自锁较快矫正 成人矫正时间长告别是问题!拜博自锁较快矫正,较快矫正技术。 》》》相关阅读:廊坊市民牙齿矫正会很疼吗?
◆圣洁美学(透明陶瓷)隐形矫正 美学陶瓷矫正 矫正是成人矫正的好选择之一,它具有良好的抗污染和抗变色能力,其透明的颜色非常接近牙齿本色,不会变形,具有很好的稳定性和美观性!
◆天使隐形正畸 不使用托槽、钢丝等矫正装置,佩戴舒适、几乎隐形让您在工作和生活中几乎不用担心美观问题!尽可能是成人美观牙齿矫正的选择!

牙齿矫正发展到今天,抛开牙齿矫正有没有年龄限制约束,走进正规的口腔医疗机构,选择经验丰富的口腔医师,你就能拥有一副整齐美丽的牙齿。
【温馨提示】矫正的是牙齿,改变的缺失人生。廊坊市民整牙要趁早。如果您还有其他问题可以点击在线咨询或是拨打我们的免费美牙热线:0316——2285777,我们的专业医生助理将会为您详细解答。

相关阅读