廊坊市民牙齿缝隙大有什么危害?
时间:2019-09-23 11:46
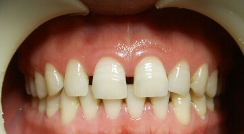
牙齿是我们必可不少的,牙齿缝隙太大,吃东西就特别容易塞牙,这就相当影响我们的进食体验了。那么,除了吃东西塞牙,牙齿缝隙大还有什么其他危害吗?下面让廊坊圣洁口腔医院的正畸主任来介绍一下吧!

廊坊圣洁口腔医院正畸主任介绍,牙间隙过大不单单只是影响我们的进食,其影响是多方面的,主要危害有以下这些:
1、影响容貌美观。严重前牙稀疏者会引起面部不协调,以致影响面容的美观。》》》推荐阅读:廊坊市民牙齿前突的原因?

2、影响口腔正常功能。降低咀嚼功能;影响发音功能,使有些音发不准确。
3、影响全身健康。前牙稀疏使咀嚼功能降低。食物咀嚼不充分。会增加胃肠的负担,时间长了会引起消化不良或胃肠疾病,影响营养的吸收。

如此看来,牙齿排列出现畸形影响都是巨大的,为了避免牙齿稀疏给你带来更大的影响,一定要尽快矫正治疗。 》》》推荐阅读:廊坊市民传统的牙齿矫正
廊坊圣洁口腔医院时代天使隐形矫正是隐形矫正的一种新型技术,其采用一系列透明的,可自行摘戴的无托槽隐形矫正器矫正牙齿,使矫治过程几乎在旁人无察觉中完成,不影响日常生活和社交。

时代天使隐形矫正会根据顾客不同的牙齿畸形情况进行个性化的量身定制的,每个阶段的矫治器都是通过高科技3D数码设计而成,只需每两周更换一副无托槽隐形矫治器,就能实现明星般的整齐皓齿。
辉煌十二载,诚信到永远。廊坊圣洁口腔12周年庆钜惠活动即将拉开帷幕,种植体1折,矫正5折起,牙齿修复(网红3D超薄瓷贴面/进口牙冠5折起),显微根管治疗5折起,半口种植牙厂家援助5000元,牙齿美白特价990元,另外还有预购抵现金、特价购、充值送活动。》》》》》点击此处,详细了解圣洁口腔12周年庆钜惠活动 》》》》》

此次活动还特意为大家精心准备了上门礼、朋友圈集赞分享礼、砸金蛋、抽大奖活动,华为Mate Rs手机等你来拿。 》》》》点击此处,详细了解圣洁口腔12周年庆钜惠活动 》》》》

【温馨提示】如果您在阅读此文时,还有其他疑问,可点击在线咨询或是拨打廊坊圣洁口腔医院免费美牙热线:0316——2285777,我们的专业医生助理将会详细为您解答。

相关阅读