在廊坊,深覆合/覆盖怎么矫正?
时间:2019-12-26 11:19
深覆合是牙齿不齐的一种典型症状,什么是深覆合?怎样判断自己是否深覆合?下面就让我们一起看看关于深覆合的详细介绍。
什么是深覆合?
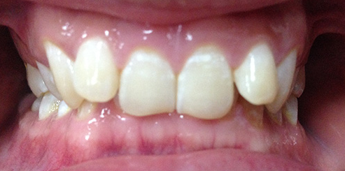
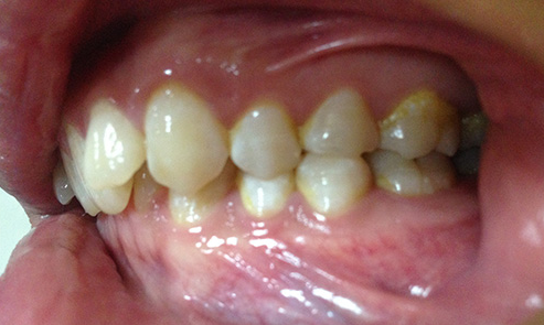
我们把牙齿在咬牙时,下牙被上牙全部盖住,或只露出很少的一部分,则可以判断为深覆合。

深覆合正面

深覆合侧面
深覆合有哪些危害?
1、由于咬合过深,因此在笑起来露出大片牙龈,形成露龈笑,没有办法掌握一个很好的微笑弧度。
2、除了影响颜值,深覆合还会影响口腔健康。由于上牙盖住下牙,在吃东西的时候,前面两颗牙互相磨损,容易导致牙釉质损伤,牙齿敏感。如果深覆合严重,下牙直接咬到内侧上牙龈,引起牙周损伤,进而可能造成牙周炎、牙齿松动等问题。
廊坊圣洁口腔高效矫正深覆合,缩短37%矫治时间
圣洁口腔针对深覆合牙齿不齐症状,采用整体移动控根技术,高效排齐牙齿,配合微笑曲线定制技术,让牙齿整齐的同时,拥有完美笑容曲线,牙美脸型更美! 》》》相关阅读:在廊坊,哪些人做隐形矫正比较好?

整体移动控根技术是以控制根部为核心的移动,是通过牙冠与牙根整体受力,使牙齿各结构部位协调同步移动得以矫正,避免了常规正畸方式带来的牙齿倾斜、牙根松动等问题,同时为牙齿提供稳固的根基,以确保正畸效果能长久稳定、宛如天生。

整体移动控根技术 匹配多种矫治器
无托槽隐形正畸:隐形矫治器是将牙颌模型三维成像,并按照医师的设计制定矫治方案, 在计算机上进行三维图像处理和精细的牙位调整,并进一步将每一步牙位变化反映到计算机辅助制作的透明牙套上,通过患者戴用一系列的牙套, 不断的小范围的移动牙齿使错位牙得以矫正。
舌侧托槽隐形正畸:舌侧隐形矫治技术是将托槽全部安装于牙齿的舌侧面进行正畸治疗,外观上看不到任何正畸痕迹。舌侧矫正技术早在二十世纪七年代就开始在日本和美国出现,经过多年的理论研究和技术完善,已经自成体系,并在日本和美国广为应用。舌侧隐形矫正技术在欧美国家和日本等国家相对成熟,其对医师操作的要求较高,技术难度较大。
Insignia精准正畸:Insignia精准正畸通过精密数字化CT扫描获得精确牙齿3D模型,并提供精确的口腔数据,进行个性化托槽、弓丝定制。通过数字化动态模拟,提前预知矫正效果,360°进行咬合关系的精准设计,让牙齿外表美观,兼具最佳咬合功能,平均缩短37%治疗时间,减少7次复诊次数。 》》》相关阅读:在廊坊,歪牙如何变美?
自锁托槽传统正畸:自锁托槽自锁托槽是目前最先进的颊侧固定托槽,它与传统非自锁托槽相比,可以明显减少正畸过程中的不适感,延长复诊间隔的时间,缩短就诊时口内操作的时间,更容易清洁干净和保持口腔卫生。陶瓷自锁的颜色与牙齿非常接近,比金属自锁托槽更为美观。

【温馨提示】牙齿矫正,不仅可以改善我们的咬合关系,更可以使我们的脸型变美。如果您还有其他正畸疑问,可点击在线咨询或是拨打廊坊圣洁口腔医院的免费爱牙热线:0316——2285777,我们的在线医生会详细为您解答。

相关阅读