廊坊市民美齿修复一步到位,首选圣洁口腔
时间:2019-07-04 11:10
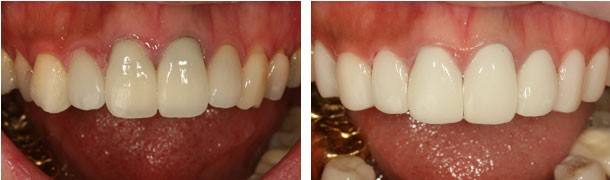
色素牙、釉质发育不全、牙体缺损等情况非常令人苦恼,许多人会选择烤瓷牙修复牙齿,而现在廊坊圣洁口腔全瓷牙更加受到大众的喜爱,全瓷牙是什么呢,相比金属烤瓷牙有什么优势?廊坊圣洁口腔品牌连锁(医疗服务质量A级单位)美学修复中心医生指出:全瓷牙不含金属离子,所以不致敏,是更健康牙齿美容修复体! 》》》推荐阅读:廊坊市民的牙齿美容冠是什么
》》》我的牙齿可以用全瓷牙吗?点击预约
全瓷牙是覆盖全部牙冠表面且不含金属内冠的瓷修复体,可以一次完成修复牙齿的形态比如蛀牙、牙齿断折等,也可以用以遮盖严重的四环素牙、氟斑牙,是相对健康与环保的修复体!
相比烤瓷牙,廊坊圣洁口腔全瓷牙优势突出:
1、透明美观,更自然:由于烤瓷牙金属内冠不透明,使用烤瓷牙美容后有明显的白垩色,苍白,虚假;而全瓷牙采用与牙齿颜色相近的瓷材料制成,半透明度与天然牙近似,修复后更加自然。

2、没有牙龈“黑线”问题:普通烤瓷牙的金属内冠在口腔内氧化形成灰色氧化物,散在沉积到牙龈边缘,引起牙齿变灰,影响美观,部分烤瓷牙还会对牙龈有较严重刺激。全瓷牙的全瓷内冠不会刺激牙龈,无牙龈黑线。
3、美观耐用,不“崩瓷”:金属和瓷的结合是烤瓷牙修复中比较薄弱的一个环节,传统烤瓷牙容易出现“崩瓷”现象。而全瓷牙则是内外冠都是瓷,瓷和瓷的结合不会出现脱落的情况。》》》推荐阅读:廊坊市民烟渍牙怎么变白?
》》》全瓷牙多少钱一颗?点击询价
全瓷牙冠虽好,但医生技术很重要!
全瓷牙冠虽然材质优良,但毕竟是修复体,要达到理想的修复效果,离不开医生严谨、精密的方案设计与安装技术,否则会出现密合度不佳造成修复失败。

廊坊圣洁口腔医院美学修复中心汇聚精专美齿修复数十年的匠人,拥有时尚的口腔美学理念以及扎实的美学修复基础,借助数字化口腔扫描仪、DSD数码微笑设计软件,能模拟出适合您的牙体形态与修复色泽。

》》》体验·美齿方案设计
【廊坊圣洁口腔温馨提示】全瓷牙冠根据品牌不同,价格略有差异。如果您还有其他疑问,点击在线咨询或拨打我们的美牙热线:0316—2285777,我们的专业医生助理将会为您详细解答。

相关阅读