廊坊市民重度色素牙怎么办?
时间:2019-07-19 09:15
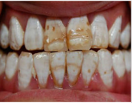
牙齿变色的问题,大家都知道分为轻度的外源性牙齿变色,以及稍微比较严重一点的中重度的牙齿变色。如果是轻度的牙齿变色那么美白起来是比较容易的,而这种比较严重的一点的可能比较麻烦。
刷牙虽然可以去除牙齿表面的一些污垢和细菌,但是并不能有效去除常年沉积在牙齿表面上黏性物质、牙结石等,尤其是重度色素牙异常难清理,十分困扰患者们,这就需要采用专业的美白方法了 。 》》》相关阅读:廊坊市民四环素牙能美白吗?

廊坊圣洁口腔医院在牙齿美白方面,有专门的牙齿美白中心,致力于市民的牙齿美白事业。目前牙齿美白中心已经引进了多种美白的技术,在重度色素牙的美白方面也不例外。
目前在廊坊圣洁口腔适用于重度色素牙美白的技术主要如下,具体需要结合个人的情况具体而定。如果是非常严重的牙齿变色伴有牙齿缺损,那么这个时候就需要借助修复体来改善了。
1、冷光美白:冷光美白是目前牙齿美白效果理想的一种美白方式,能够有效去除牙齿表面的各种附着色,采用亲水性药物,不会给牙齿造成损伤,而且效果持久。
2、瓷贴面: 瓷贴面是目前具有高品质的瓷贴面技术,它根据求美者牙齿的高低厚薄进行3D精细化量齿定制,只需在牙齿表面贴上薄薄的、德国原装进口的全瓷贴片,就能摆脱四环素牙,氟斑牙,个小牙,牙列稀疏等丑牙困扰。 》》》相关阅读:廊坊瓷贴面美白牙齿多少钱
3、美牙冠:美牙冠的适应范围广,对于各种四环素牙、氟斑牙、畸形牙、变色牙及牙齿缺损、牙齿缺失问题等,都能够通过美容冠进行修复,恢复整齐洁白的牙齿。
廊坊圣洁口腔的美学修复具有快速正畸,美齿、矫齿、治齿的功效。具有美牙不拔牙,痛苦轻,时间短(前后来院两次,间隔七天),牙齿坚固,牙龈不会出现黑线等优点,从而达到大众满意的美牙效果。 》》》相关阅读:洗牙能美白牙齿吗?
【温馨提示】以上是关于“廊坊市民重度色素牙要怎么办”的详细介绍,更多疑问您可以拨打我们的免费美牙热线:0316——2285777,我们的医生助理将详细为您解答。各种各样的牙齿问题都需要及时的治疗,这样才能避免小问题酿成大祸患。廊坊圣洁口腔医院祝您牙齿健康!

相关阅读