在廊坊烤瓷牙的优点是什么呢?
时间:2019-08-23 14:27
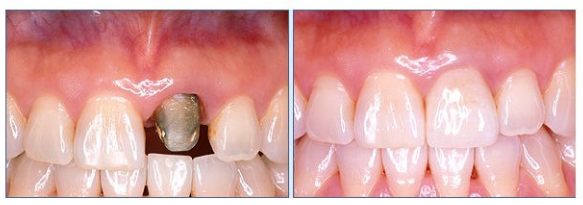
现在,随着人们的生活水平的提高,人们对自己的面容要求也越来越高,很多爱美者都想通过烤瓷牙手术来完善牙齿。那么,烤瓷牙的几个优点是什么?下面请廊坊圣洁口腔医院的美学修复医生为大家详细介绍下。

在廊坊烤瓷牙的几个优点是什么?
适用范围广:如个别牙不整齐,牙缝过宽、断牙、缺牙、四环素牙、牙釉质发育不全、畸形牙等的修复美容。 》》》相关阅读:廊坊市民烤瓷牙贵吗?
美观逼真:颜色可调制成真牙颜色一样,不变色,全瓷牙颜色更加理想,折光性都跟真牙一致,烤瓷牙颜色齐全,能根据患者本人的要求或周围牙的颜色进行比色与配色,做出来如天然牙齿色泽真实、自然。
廊坊圣洁口腔美学修复中心引入全数字化口腔科技及欧美生态全瓷材料,还可根据顾客的脸型、唇形、牙齿形态、排列状态等行个性化综合设计,不仅考虑咬合关系,更兼顾牙颌面的整体美观与协调,设计出符合美学、医学、材料学、口腔力学的明星全瓷牙。

廊坊圣洁生态烤瓷牙保障功能美学双重修复
材质:欧美生态全瓷材料
技术特点:
1、自然美观色泽稳定
2、数字设计可预知性 》》》相关阅读:廊坊市民烤瓷牙补牙有危害吗?
3、品牌烤瓷牙生物相容性

4、个性化设计
5、坚固耐用高效专业
【温馨提示】以上是对烤瓷牙的几个优点的介绍,如您还有关于牙齿修复的其他疑问,可拨打廊坊圣洁口腔医院热线:0316——2285777,也可在线预约,与廊坊圣洁口腔在线医生进行一对一交流。

相关阅读