在廊坊,为什么拔牙前先拍片?
时间:2020-09-02 09:20
在廊坊,估计大家都有这样的经历——诚惶诚恐的去口腔医院,鼓起勇气跟医生说自己长了智齿要拔牙,医生让你张大嘴看了看说,先去拍个片子吧!!!

“我只是想拔牙,为什么要我拍片?”
不拍牙片,你永远不知道牙齿能长得多么“奇葩”。
我们的牙齿情况远比我们想象的复杂,肉眼是无法看清全貌的。你敢让医生不拍片就拔,医生还不敢呢。
通过拍片,可以了解:
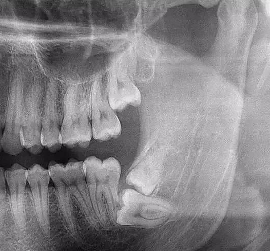
牙齿本身:生长方向,牙根数目,牙根是否弯曲,膨大等。

与重要解剖结构的位置关系:如上颌磨牙与上颌窦的关系;下颌磨牙与下颌神经管的关系;儿童在混合牙列期恒牙与乳牙胚的关系等。可以减少拔牙的风险。预知其他病变:如颌骨内有无埋伏牙,多生牙,囊肿等。
多生牙

总之,拍片对口腔医生诊断牙病,设计治疗方案,采取治疗措施,判断预后都有重要意义。任何疾病,诊断都是治疗的第一步和最关键的一步,而拍片是辅助诊断的重要影像学检查手段。
一起来了解下口腔科常见的拍片类型~

01、小牙片(根尖片)
主要拍摄单个牙,可以了解牙齿龋坏程度,根尖周的病变情况,牙周骨质破坏情况等。口腔颌面外科不常用。
02、全景片(曲面断层片)

拍摄全口牙齿,二维成像,可将全口牙齿的体层影像,双侧上下颌骨,上颌窦,颞颌关节等同时显示在一张胶片上。
03、CBCT(锥形束CT)

拍摄整个颌面部,三维成像,空间分辨率高,成像更清晰、全面,可以准确显示囊肿的大小,埋伏牙的位置,因此手术时采用更加安全精准。
【温馨提示】牙齿是伴随我们一生的器官,我们一定要爱护好。定期做口腔检查,及时发现及时治疗,避免小毛病成大祸害。廊坊圣洁口腔暑期矫正优惠火热进行中,更多优惠欢迎官网咨询或是拨打0316—2285777进行预约,正畸路上圣洁与您同行!

相关阅读