种牙有什么坏处
时间:2019-03-31 08:05
种植牙是一种常见牙齿缺失修复方法,种植牙能针对各种牙齿缺失问题进行牙齿植入再造,实现了口腔牙齿结构的完整性,种植后功能好,固位好、美观舒适、不需要磨牙,手术过程操作简单等优点。被很多缺牙的朋友喜爱,但也有很多人担心种植牙有危害,那么种植牙的危害存在吗?
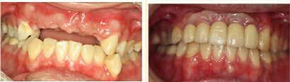
圣洁种植牙真人案例
据圣洁口腔专家介绍,如果患者在非正规的口腔机构由非专业的种植医生进行种植牙手术,的确比较容易造成危害。而这不是种植牙技术本身存在的问题,是由于非正规机构手术环境不达标,医生不专业,甚至不具备做种植手术的资质造成的。
非正规机构做种植牙的危害表现:
1、感染:这类种植牙的危害多因手术区或手术器械污染以及其它并发症诱发感染。
2、牙龈增生:种植牙由于基台穿龈过少,或基台与桥架连接不良,造成局部卫生状况差,长期的慢性炎性刺激可致牙龈增生。因此,这也是属于种植牙的危害之一。
3、下唇麻木:种植牙的危害多因术中剥离时损伤颏神经或种植体植入时直接创伤所致。前者多可恢复,后者的种植牙患者应去除该种植体,避开神经重新选位植入。
4、窦腔粘膜穿通:上颌种植牙时,由于骨量不足,种植牙的危害容易穿通上颌窦或鼻底粘膜,势必造成种植体周围感染,因及时去除。
所以,需要种牙的患者,一定要选择专业正规的口腔医院,才能种出健康好牙齿。廊坊圣洁口腔医院不但引进了国际水准的微创微痛种植技术、微痛即刻种植技术、全口缺牙种植修复种植技术等先进的种植牙技术,还有临床经验丰富的中德韩三国专家团常年驻院坐诊,确保每一例种牙手术的质量,让每一位患者都拥有健康新牙齿。
相关阅读