廊坊市民多颗种植牙多少钱
时间:2019-07-07 15:50
种植牙是目前大家公认的治疗牙齿缺失比较理想的方式,廊坊圣洁口腔医院的专家说,多颗牙缺失种牙多少钱,受口腔状况、选择的种植牙医院、种植牙医师等相关因素影响,不是固定的。 》》》相关阅读:廊坊市民种植牙一定要去正规的医院

多颗种牙,我选择廊坊圣洁数字化种植牙 》》》相关阅读:廊坊圣洁口腔数字化导航种植
廊坊圣洁数字化种植牙是目前新种植技术,主要针对于全口无牙或者多颗牙缺失的情况下,仅需4-6颗种植体。它是一种即刻负重种植牙技术,顾客当天种植,当天戴冠,当天即可享受美食。
什么情况可以做数字化种植牙?点击了解

廊坊圣洁口腔数字化种植牙具有以下特点:
1、无需植骨:通过植入4-6颗种植体,其中远中种植体呈45°向远中倾斜,增大骨骼与种植体的接触面,避开了上颌窦和下齿槽神经管等重要解剖结构,避免了植骨手术,减少了手术创伤;即使在骨量小的情况下也可实现稳定性。
2、当天种牙、当天戴冠:传统种植牙手术需要分次进行,前后需要半年到1年半的治疗期和多次受创的过程。廊坊圣洁数字化种植牙即刻负重种植牙技术速度快,即拔即种,当天戴冠,当天就能享受美食,可极大地缩短顾客的缺牙时间,减轻顾客缺牙的痛苦。

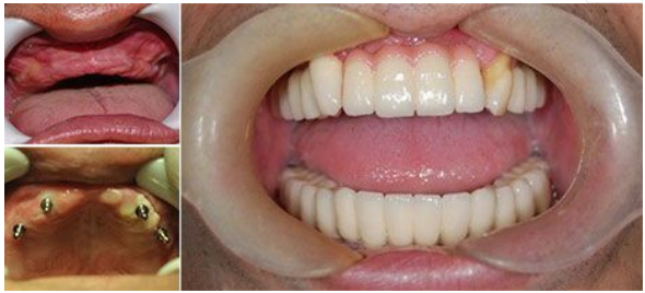
种植牙效果图
种植牙对种植环境、设备及种植医生的要求都很高,因此在选择医院的时候要谨慎,只有去正规大型的口腔医院进行种植,才可以保证治疗的效果和舒适度。 》》》相关阅读:廊坊市民种植一颗牙多少钱?
在廊坊很多朋友遇到口腔问题,都会选择廊坊圣洁口腔医院,不仅因为圣洁口腔医院是全城口腔连锁机构,品质有保障,更因为圣洁口腔医院拥有临床经验丰富的口腔医生,技术设备、规范的操作、合理透明的收费让人放心,是百姓信赖的口腔诊疗机构。圣洁口腔采用德式精致服务,专注细节,竭诚为社会各界人士提供优质、安全、效率、便捷的医疗服务,让看牙成为一种享受。

【温馨提示】如果您还有种牙或口腔方面的疑问,可点此咨询口腔医生或拨打我们的爱牙热线:0316—2285777,廊坊圣洁口腔医院竭诚为您服务!
相关阅读