廊坊市民镶牙选择哪种材料好?
时间:2019-09-03 15:07
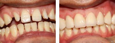
廊坊市民镶牙用哪种材料好?牙齿缺失的情况是比较常见的,牙齿缺失不仅影响了我们的咀嚼功能还会引起口腔健康的问题。牙齿一旦缺失我们要及时镶牙,镶牙材料的选择是非常重要的,镶牙材料种类很多,那么廊坊市民镶牙用什么材料好呢?我们一起来听听廊坊圣洁口腔医院的医生的介绍。
>>>在线咨询镶牙多少钱?>>>
廊坊市民镶牙用哪种材料好?
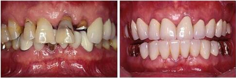
廊坊圣洁口腔医生指出,镶牙是治疗牙齿缺失有效的方法之一,镶牙的材料有很多,每种材料都有着不同的特点,镶牙材料烤瓷牙可以分为不同类型,一般可分为金属、陶瓷和高分子材料,及其用三者复合而成的所谓复合材料四大类,下面介绍两种较流行的镶牙材料:
1、金属合金是镶牙较常使用的材料,主要成分是黄金和白金,比同类产品具有更丰富完善的颜色体系,与天然牙颜色接近,较具理想的生物相容必性,使用安全,对人体无害,更接近自然牙的强度,使用年限更长久,形态逼真,更接近患者天然牙的形态。 》》》相关阅读:廊坊市民镶牙绝对不等于种植牙

2、全瓷牙是一种既好看又实用的镶牙修复体,全瓷牙的内冠是瓷,是一种透明的骨架,它的层次、色泽较接近真牙,对光线的反射更接近天然牙。而且它不含金属,对牙龈无影响,基本上不会对人体产生过敏。并且它拥有绝佳的光学性质、极好的生物相容性、逼真的色泽,是很多成功人士的镶牙首选。

>>>我的大牙长蛀牙了,怎么办呢?点击在线咨询<<<
全瓷牙是镶牙患者不错的选择!
有的人对于金属烤瓷牙天生就过敏,这个时候全瓷牙问世了,全瓷牙没有一点金属物质,它的硬度和金属烤瓷牙相仿,这就解决了人们对于镶牙材料过敏的问题。

>>全瓷牙多少钱一颗呢?点击在线咨询<<
镶牙技术推荐——全瓷牙 工艺无与伦比
全瓷牙,由于内冠不再使用金属,而采用与牙齿颜色相近的高强度瓷材料制成,因此较金属基底烤瓷修复体更美观,半透明度与天然牙近似,修复后牙龈边缘表现更加自然,因此被广大患者所喜爱。
全瓷牙技术优势:
1、精确定位:采集口内牙列、基牙等数据,精确计算与邻牙、颌牙的位置关系、空间大小,确保美学效果。
2、自然舒适:优质陶瓷与天然牙透光性相匹配,自然逼真;同时生物相容性良好,不影响口腔健康。 》》》相关阅读:廊坊市民活动牙、固定牙、种植牙,该镶哪个?
3、持久耐用:耐高温陶瓷,抗压强度高,同时制作工艺集高温、铸造、粘结等技术为一体,保障修复持久效果。

廊坊圣洁口腔镶牙更专业
廊坊圣洁口腔是专业的大型口腔专科医院,拥有医疗设备,廊坊圣洁口腔与多家口腔医院建立了良好的学术交流与技术合作关系。医院拥有技术超群的口腔医生诊疗团队,主诊医生有着丰富的临床经验。医院采用较流行的“一人一医一诊室”人性化设置,不但保护了患者的隐私,更有利于医患之间的充分交流,医生可根据病人不同就医需求制定个性化的诊 疗方案,受广大患者的欢迎。
【温馨提示】如果您对镶牙还有什么疑问或者想了解更多可以咨询廊坊圣洁口腔医院的在线专家,或拨打廊坊圣洁口腔医院的免费爱牙热线:0316——2285777,我们的专业医生助理将会详细为您解答。

相关阅读