廊坊市民全口种植牙一共多少钱?
时间:2019-09-17 15:41
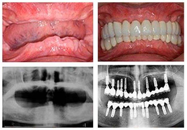
一般全口牙缺失的情况常见于中老年人。中年老人因为旧时对口腔不太重视,导致口腔患上牙周病的几率更高,较终导致全口牙缺失。那么,廊坊市民全口种植牙一共多少钱?圣洁口腔医院的种植科医生对全口牙种植的修复费用,做出了以下说明。

廊坊圣洁口腔医院种植技术院长姚立平介绍,全口种植牙的价格受以下因素影响:
1. 患者的口腔情况。如果牙槽骨被严重吸收,则可能需要植骨才能进行种植。如果患有严重的牙周病,则需要处理好牙周病以后才能进行种植牙。所以价格会相对贵些。 》》》相关阅读:廊坊市民种植牙有副作用吗?

2. 种植牙的系统不同。不同的种植牙系统性能不一样,所以价格也会不一样。廊坊圣洁口腔常用:瑞典NOBEL种植系统、德国登仕柏种植系统、韩国OSSTEM种植系统等进口系统,安全更能得到保障。
3. 种植牙的材料不同。材料越好的种植牙,价格也就越贵。

4. 医生的技术不同。不同的医院,不同的医师,水平越高,价格也不一样。廊坊圣洁口腔医院拥有承担医生种植教育培训的资质,在种植上更权威、可信。 》》》相关阅读:廊坊市民多颗种植牙应注意哪些事项?
圣洁口腔技术推荐——全口种植牙使用麦芽ALL-ON-4即刻负重技术会更好。当天即可恢复饮食。
》》》ALL-ON-4即刻负重技术是什么,详细了解 》》》
All-on-4即刻负重技术更好、更快、更省!

好:北京知名专家领衔,4颗种植体,种出整排牙
快:全口/半口牙齿缺失,1个小时种出半口好牙
省:种植导板技术,无需切开牙龈,更省钱,半口牙省下1/3费用
All-on-4 半口/全口缺牙患者的福音! 进口植体限时特惠,点击了解更多》》》
【温馨提示】缺牙后为了避免牙槽骨骨量快速吸收、增加修复难度,应及时种植。如果您还有其他疑问可点击在线咨询或是拨打廊坊圣洁口腔医院免费服务热线:0316——2285777。我们的专业医生助理将会详细为您解答。

相关阅读