在廊坊种植牙的价格
时间:2019-11-06 09:42
种植牙是牙齿修复技术的一大“飞跃”,它突破了传统镶牙方式的缺陷,在稳固、舒适、咀嚼力上如同真牙。那么,在廊坊种植多少钱呢?下面我们一起来听听廊坊圣洁口腔医院医生的介绍。

廊坊圣洁口腔的医生指出:种植牙的价格主要由牙齿缺失情况、种植体、牙冠等构成。具体如下:
1、单颗/多颗缺失(前牙、后牙),缺牙后不及时修复,会造成邻牙、对牙甚至同侧牙松动、脱落,从而影响美观和咀嚼功能。种植牙是接近天然牙的缺牙修复方法,具有坚固耐用,美观舒适,不必磨损邻牙等优势。

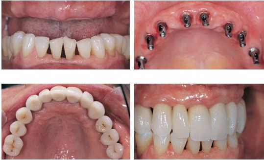
2、半/全口缺失,会造成牙龈萎缩、牙槽骨吸收、加速衰老等。圣洁即刻负重种植技术利用数字化导板植入4-6颗种植体,快速、准确和舒适的改善半/全口缺失。 》》》相关阅读:在廊坊,单科牙齿脱落怎么办?

3、种植体材料,圣洁口腔有韩系种植体、德系种植体、欧系种植体等;牙冠部分可以分为金属牙冠和全瓷牙冠。
哪里做种植牙好?——种植牙我选择廊坊圣洁口腔医院
【全国连锁品牌 专业有保障】
圣洁口腔是一家全国连锁口腔医院,一城三院,以“全数字化”作为核心优势,辅以个性化、专业化和科学化的治疗模式,每年服务众多廊坊市民。 》》》相关阅读:在廊坊,种植牙从“根”上解决缺牙难题
【特色种植技术 治疗更快更好】
单/多颗牙齿种植——圣洁数字化种植牙
圣洁口腔引进数字化种植系统、法国锥形束口腔CT、水激光辅助系统、CAD/CAM数字化系统等诊疗设备,在治疗过程中快速、准确和舒适,可以做到少麻醉,让种牙更舒适。

全/半口种植——圣洁即刻负重种植技术
针对于全口无牙或者半口无牙的情况下,借助口腔CT,利用数字化导板植入4-6颗种植体,使“拱形连桥”稳定性提高,当天种牙当天用。

【温馨提示】牙齿缺失,危害多多。如果您还有其他种植牙问题,可点击在线咨询或是拨打廊坊圣洁口腔医院的免费爱牙热线:0316——2285777,我们的在线医生会详细为您解答。

相关阅读