在廊坊,无痛种植牙重拾好口福
时间:2020-09-24 11:58
无痛种植牙,重拾好口福。“能吃能喝的美好生活,才有盼头”。

饮食不易,痛苦万分。今天为大家分享一则种植牙案例。
76岁的黄大爷就通过种植牙,过上了“新”生活,再也不用为牙齿问题苦恼伤神。已经76岁的老先生找到圣洁口腔想要做种植牙的时候,口腔状况并不乐观。"我已经很多年没有好好地吃上一顿饭,就连红烧肉都吃不了",黄大爷感叹,“缺牙后连吃饭都成了件痛苦的事,整个人的状态也不是特别好”。黄大爷的话,听了让人心酸。

半口种植,手术无痛
为了种好牙,黄大爷咨询了大大小小的齿科机构。苦于高额的种植牙费用迟迟没有手术,直到来到了圣洁口腔。圣洁以专业的种牙方案以及合理的价位赢得了黄大爷的信任。
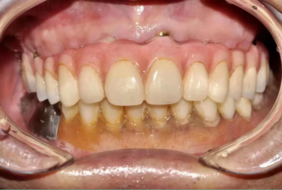
老人属于半口牙列缺失,已经佩戴活动义齿很多年了。然而,活动义齿的稳固性不佳、佩戴舒适度不高、咀嚼效率低下、需要经常清洗、3到5年就会变形老化、容易滋生病菌等一系列问题也让老人备受困扰。

为了达到半口较好的修复效果,种植团队在充分检查老人的口腔状况后,建议老人做半口all-on-4种植手术修复,手术当日可佩戴临时固定假牙,几个月后更换永久假牙。

讲解了手术方案后,黄大爷表示非常认可,手术进行的很顺利。
一口好牙,尽享晚年
种植一口好牙不仅事关口腹之欲,更关乎生活质量。种植成功的黄大爷高兴极了,直说真心感谢圣洁口腔,以后可以吃山珍海味了,“毕竟能吃能喝的美好生活,才有盼头嘛”。

患者认可,不负使命
圣洁口腔拥有精良的种植团队、严谨的工作作风、先进的口腔设备。每一例口腔修复手术都由优良团队精心操作,为患者带来一流的口腔修复效果,竭力还给患者完美的第三副牙齿!

【温馨提示】精于种植,专业美齿。廊坊圣洁口腔医院连锁13周年感恩庆典活动正在进行中,如果您还有其他需要可点击在线咨询或是拨打爱牙热线:0316—2285777,进行预约!

相关阅读