在廊坊,是种牙好还是镶牙好?
时间:2020-12-21 10:51
冬至来临,送您一口好牙,品尝热腾腾的饺子,抵御严冬的寒冷。廊坊圣洁口腔医院祝您冬至快乐!

长期牙齿缺失会不同程度的影响到咀嚼,连累到消化系统,严重影响身心健康。因此及时修复缺失的牙齿,是当务之急。在廊坊修复缺失的牙齿,通常有种牙和镶牙两种方法,那么哪种方法更好呢?

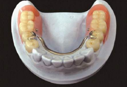
镶牙就是义齿中的一种,镶牙是利用吸附或者外固定等方法安装的义齿。镶牙有固定的和活动的两种。固定的是用金属牙套借助自体牙作依托固定的假齿。活动的就是有吸附式的全口牙就是利用口腔粘膜的吸附来固定的。
种植牙是通过医学方式在牙槽骨中植入人工牙根(通常为生物相容性极好的纯钛金属),然后镶上基座,装上新牙冠。因其不用磨小相邻两颗牙齿,种上的牙齿不但和原来的一样好用,而且一般不用再更换,是现在修复缺失牙常见的方式。
解析:镶牙和种植牙优劣势
【种植牙】性价比高媲美真牙

优势:稳定牢固,缺一补一,不损伤健康牙齿,无异物感,咀嚼功能如真牙。
劣势:对医生、种植、设备等要求很高;费用相对较高。
【镶牙】经济适中缺陷较多

优势:磨除牙体组织少,方便佩戴、价格便宜。
劣势:影响美观、发音等,异物感强,咀嚼功能弱,使用时间短。

从长远看,种植牙更加物美价廉的。传统的镶牙,缺一颗牙需要装三个单位烤瓷桥,这样便会涉及相邻的两颗牙齿,一旦出现问题,报废的就是三颗牙。如果配戴活动义齿,不但容易松动咀嚼功能也不佳,甚至导致口腔疾病。相较而言,种植牙的使用期限长,种好后就像真牙长在口腔里,完全规避义齿带来的种种危害和影响。
【种植牙适用人群】单颗缺失、多颗缺失、半口缺失、全口缺失、长期佩戴假牙者。》》》推荐阅读:在廊坊,半口种植牙需要多少钱?

牙齿缺失选择种植牙价值

即拔即种即用:种植牙体与牙槽骨高度融合,牙槽骨条件好的患者当天即可戴牙冠和进食,快速恢复真牙咀嚼功能。
外观逼真:人工牙根与牙槽骨紧密结合,使种植牙像真牙一样扎根于口腔,具有极强固定性,其色泽也与自然牙保持一致。
不伤邻牙:种植牙是在缺牙处的牙槽骨内植入种植体,以此为基础修复缺失牙,不用磨旁边的健康牙齿,因此不会损伤邻牙。
使用寿命长:种植牙的相容性是很好的。每一颗种植体均保证国际优质品质,加之终身维护,让每一颗种植牙都拥有更长的使用寿命。

【温馨提示】牙齿,是我们身体最硬的器官,也是伴随我们一生的,我们一定要珍爱牙齿,定期做口腔检查,定期洗牙。精于种植,专于美齿。廊坊圣洁口腔数字化种植,明星同款种植体新品发布,五折招募体验官。您可点击在线咨询或是拨打爱牙热线:0316—2285777,进行预约!

相关阅读