快踏入2020年,在犹豫要不要趁着年底福利做个矫正呢?
但是很多矫正患者会觉得1.5~2年的治疗时间太久,告诉医生他们不怕疼痛,要求医生加大矫正力度,缩短治疗时间。but...矫正牙齿真的越快越好吗?下面我们一起来听听廊坊圣洁口腔医院的正畸医生的说法。

牙齿矫正的原理
牙齿矫正,其实就是牙槽骨改建的过程。我们的牙齿是长在牙槽骨里的,牙根就像树根根植在泥土中一样。
但是牙齿并不是纹丝不动地屹立在牙槽骨之上而是有一定弹性的立于牙槽骨中。 》》》相关阅读:在廊坊,牙齿矫正不当会有副作用吗?
牙齿和牙槽骨之间有种物质叫牙周膜,牙周膜的弹性和韧性会让我们的牙齿具有一定的松动性,避免受到伤害。
虽然这种松动极其轻微,几乎无法察觉,但它也确实是真实存在的。
牙齿矫正利用牙齿可移动的特性,只要在牙冠上施加一定的轻力,牙齿便可缓慢移动。
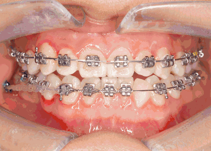
我们的固定矫治器和隐形牙套都是先将力量施于牙冠上,然后力量会传递到牙根,较后作用于牙槽骨上,牙齿开始移动。

正常移动速度是多少?过快有什么危害?
牙齿每一个月移动一毫米,这已经是非常快的速度了,如果再快的话,可能会引起:
1.牙齿疼痛感加强,进食困难;
2.牙根的吸收,就是让牙根变短;
3.牙槽骨的吸收,就是让牙根周围的骨头高度降低。
对牙根和牙槽骨的伤害都会导致牙根暴露,牙髓坏死,牙齿松动甚至脱落,自然这种过快的牙齿移动是不健康的。

矫正牙齿遵循柔和、轻力原则
矫正必须在适宜的矫治力作用下才能顺利地移动牙齿。力量过小不发生作用,力量太大则可能发生牙周组织损伤。损伤以后组织需要时间进行修复,这样反而使牙齿移动延缓。
所以一般矫正需要花的时间比较长,大致在1年半至两年。当然,每个个体的生理情况不一样,牙齿的移动速度不同,矫正时间也会不同。

一些复杂案例,比如骨性畸形患者,因为牙槽骨非常致密,改建的过程就比较困难,通常矫正时间会超过两年,甚至更长。
但是,也只有这样才能保证患者的牙齿移动是在健康范围之内,一味求快只会损害我们的牙齿健康。所以大家也不要自己频繁更换橡皮圈,要遵医嘱佩戴。 》》》相关阅读:在廊坊牙齿矫正如何不反弹?

两种情况可以缩短治疗时间!
1.在孩子生长发育黄金期接受治疗
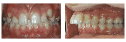
儿童早期治疗可以利用牙齿和颌骨的生长潜力来矫治,这样不仅有利于牙齿的生长排列,还会利于将来的全面矫正,达到事半功倍的效果。孩子早期干预治疗,效果和矫正速度都会比成年人快很多。
如果你还处在整牙的黄金期,就要抓紧看正畸医生了。目前的观点认为在孩子3~4岁时就可以到正畸科来找专业的正畸医生就诊。
2.使用正畸加速器
正畸加速器的原理是使牙槽骨中的成骨细胞、破骨细胞更加活跃,帮助牙槽骨完成改建。加速器可以作用于牙槽骨,从根本上缩短治疗时间,并且不会对牙齿、牙根、牙槽骨产生任何伤害。
加速器官方数据显示可以缩短1/2的治疗时间,而我们根据过往案例保守估计可以缩短整个治疗时间的1/3。预算充足的患者可以考虑使用正畸加速器。

牙齿的移动是有其生物学规律的,在正畸过程中,只有根据生物学规律,科学地运用力量才能达到既快又好的目的。欲速则不达,希望每位整牙患者可以耐心等待牙齿的变化!

【温馨提示】牙齿矫正,不仅可以改变牙齿排列形态,更能完善牙口的咬合功能。如果您还有其他正畸疑问,可点击在线咨询或是拨打廊坊圣洁口腔医院的免费爱牙热线:0316——2285777,我们的在线医生会详细为您解答。
