在廊坊,隐形矫正分为哪几种?
时间:2019-11-06 10:04
说到矫正,很多人想到的就是满嘴钢丝铁块的形象,这让很多人对矫正望而却步。其实,为适应人们对美观度和舒适度的要求,隐形矫正技术已经被研发出来,可以让牙齿不整齐的人们悄悄矫正、悄悄变美,而且还不只一种,下面就让我们一起来看看在廊坊隐形矫正分为哪几种吧。
廊坊圣洁口腔医院的正畸医生介绍,隐形矫正按照隐形的方式和原理,可以分为三种:半隐形矫正,无托槽隐形矫正和舌侧隐形矫正,下面就让我来详细了解下这三种隐形矫正方法吧。

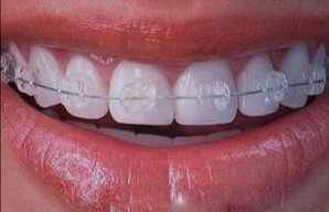
半隐形矫正
半隐形矫正,也就是陶瓷托槽正畸,因为这种正畸方法所使用的陶瓷托槽近乎透明,粘在牙齿上隐蔽性较好,不容易被发现,使矫治过程悄然完成。因而深受矫正者喜爱,逐渐风行,已成为国外正畸矫治中必不可少的材料之一。

廊坊圣洁口腔引进美国进口3M陶瓷托槽矫正技术,以先进的航天材料制成,独特的设计使牙套和牙齿焕然一体,轻松告别沉重、有碍观瞻的金属钢丝牙,深受世界各地正畸医生信赖。 》》》相关阅读:在廊坊,牙齿矫正哪些方法比较好?

无托槽隐形矫正
无托槽隐形矫正也叫隐形透明正畸,以崭新的3D立体电脑技术,量身定制一系列近乎无法察觉的透明牙托来完成整个矫正疗程的一项技术。不管是牙齿拥挤、有间隙,还是传统治疗后又移位的牙齿,都绝对可以重新获得灿烂笑容。
为了满足矫正者影响矫正的需求,圣洁口腔引进了隐适美和时代天使两大无托槽隐形矫正技术,根据矫正者口腔情况和牙齿数据设计矫正参数,监控矫正效果,让牙齿悄然变美。 》》》相关阅读:在什么情况下,牙齿矫正容易反弹?

舌侧隐形矫正
舌侧隐形矫正技术是国际上近些年来兴起的一项比较先进的正畸技术,它是将矫治器全部安装于牙齿的舌侧面进行正畸治疗,外观上看不到任何正畸痕迹。舌侧矫正技术早在二十世纪七十年代就开始在日本和美国出现,经过多年的理论研究和技术完善,已经自成体系,并在日本和美国广为应用。
舌侧隐形矫正技术在欧美国家和日本等国家相当成熟,但是在国内舌侧隐形矫正开展的却很少,因为它对医师操作的要求较高,技术难度较大。廊坊圣洁口腔专门选拔医生学习舌侧隐形矫正技术,精准掌握技术应用和参数配置,以高标准为顾客实施完美隐形正畸。

【温馨提示】随着医学技术的进步,牙齿矫正的技术也有了突飞猛进的发展,口腔正畸,改变的不只是牙齿,还有脸型。如果您还有其他正畸疑问,可点击在线咨询或是拨打廊坊圣洁口腔医院的免费爱牙热线:0316——2285777,我们的在线医生会详细为您解答。

相关阅读