圣洁简介
品牌优势
权威专家
金牌技术
经典案例
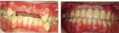
口腔种植
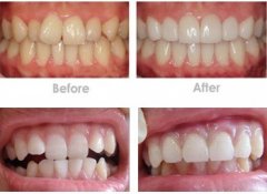
牙齿矫正
美容修复
口腔治疗
儿童齿科
圣洁口腔医院
>
经典项目
>
文章推荐
我要咨询
廊坊龅牙矫正需要多少钱呢
种牙好还是烤瓷牙好
种植牙医院哪个好
种植牙大约需要多少钱
牙齿种植有什么危害
种植牙齿疼不疼
廊坊牙齿矫正时间
廊坊地包天牙齿能矫正吗
廊坊成人隐形矫正费用
廊坊万庄牙齿矫正
首页
上一页
233
234
235
236
237
238
239
240
241
242
243
下一页
末页
共
449
页
4486
条
姓 名:
电 话:
咨询内容:
输入您的留言,禁止发表国家禁止的言论。