圣洁口腔医院 > 经典项目 >
文章推荐
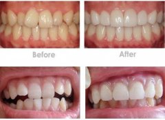
廊坊虎牙可不可以矫正
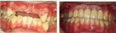
全口种植牙价格费用是多少钱
种植牙齿有什么危害
种植牙一般花多少钱
种植牙可以维持多久
种植牙费用可以报销吗
廊坊牙齿是龅牙怎么办
廊坊成年人的牙齿还能矫正吗
廊坊地包天严重的能矫正吗
廊坊隐形矫正的费用