圣洁简介
品牌优势
权威专家
金牌技术
经典案例
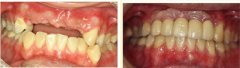
口腔种植
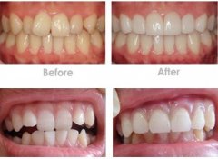
牙齿矫正
美容修复
口腔治疗
儿童齿科
圣洁口腔医院
>
经典项目
>
文章推荐
我要咨询
廊坊隐形矫正的费用多少
种牙有什么坏处
种一颗牙一般要多少钱
全口种植牙大概价格
种牙齿怎么种
种植牙需要注意什么
廊坊牙齿矫正治疗
廊坊28岁龅牙怎么办
廊坊牙齿矫正要多长时间
廊坊地包天矫正都有些什么方法
首页
上一页
232
233
234
235
236
237
238
239
240
241
242
下一页
末页
共
449
页
4486
条
姓 名:
电 话:
咨询内容:
输入您的留言,禁止发表国家禁止的言论。